Příklady léčby
Neextrakční terapie: převislý skus

Začátek: tzv. převislý skus (stav na začátku)

Průběh léčby plným fixním aparátem

Konec po sejmutí: po sejmutí zámků z horních i dolních zubů oblouky harmonicky artikulují k sobě (zuby se dokousnou k sobě)
Stěsnání - neextrakční terapie: zařazení špičáku do oblouku bez trhání zubů

Začátek: příliš prominuje horní špičák

Konec po sejmutí: po sejmutí zámků z horních i dolních zubů jsou zařazené špičáky a oblouky harmonicky artikulují k sobě (zuby se dokousnou k sobě)
Stěsnání - extrakční terapie: extrakce (vytržení) čtyř premolárů (čtyřek)

Začátek: velké stěsnání, nedostatek místa na špičáky

Konec po sejmutí fixního aparátu: místo se získalo extrakcí (vytržením) čtyř zubů, zuby se vyrovnaly do oblouku
Stěsnání a protruze (předkus): extrakce (vytržení) dvou zubů v horním zubním oblouku

Začátek: protruze (předkus) horních řezáků

Konec: místo se získalo extrakcí dvou premolárů (čtyřek) v horním zubním oblouku, zuby se vyrovnaly do oblouku a doartikulovaly (dokously) se k dolním zubům

Výchozí a konečný stav na dálkových bočních snímcích lebky
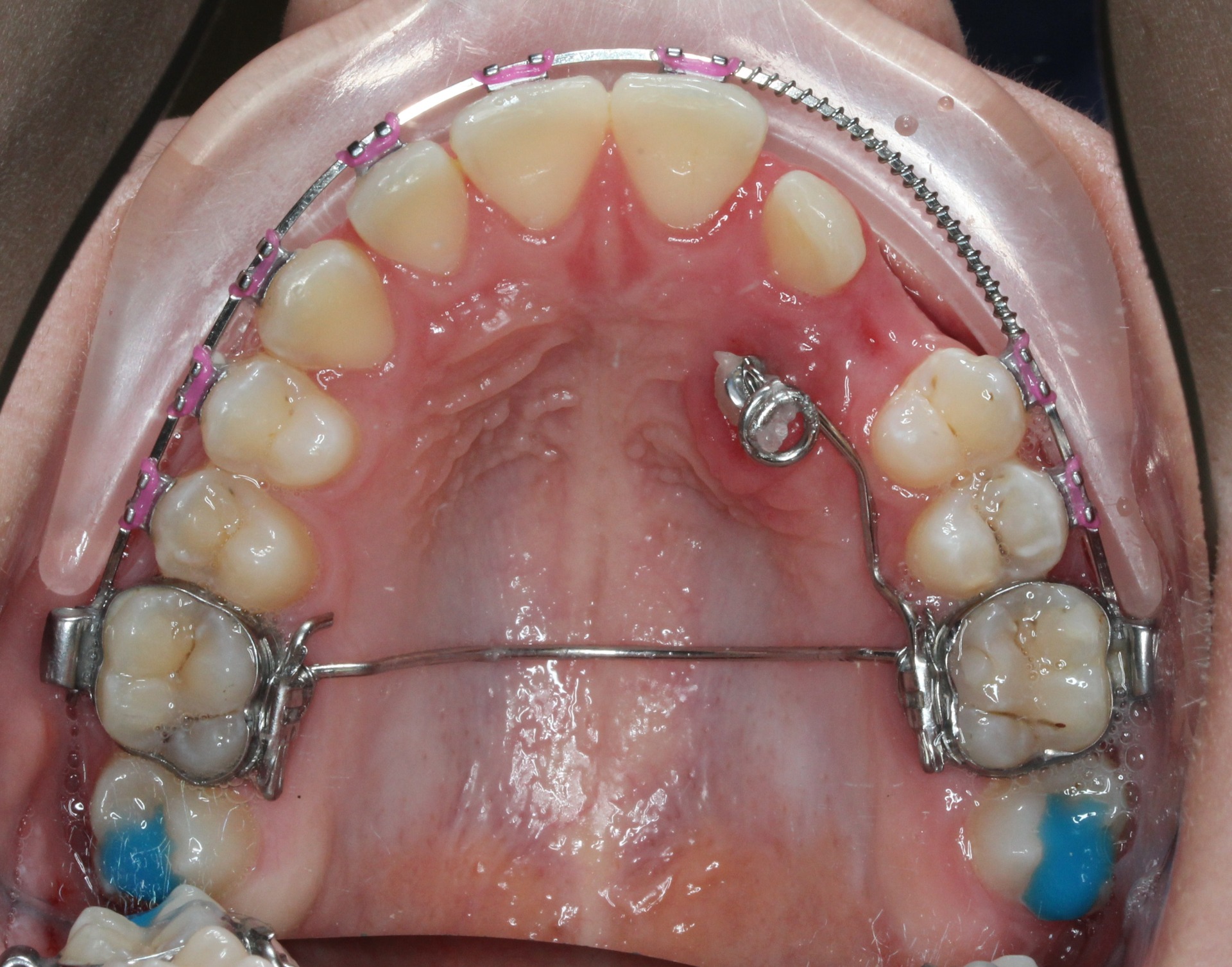
Retinovaný špičák

Začátek: retinovaný špičák palatinálně uložený (zaklíněný na patře za předními zuby)

Průběh léčby: špičák bývá skloněn vzadu za předními zuby, táhne se nejprve na patro k oblouku přes patro a pak se postupně zařazují, až jsou zařazené v oblouku na svém místě

Konec léčby po sejmutí: špičák zařazený v zubním oblouku
Kombinovaná ortodonticko chirurgická léčba: skeletální II. tř. (krátká dolní čelist) (chirurgická část terapie ve VFN Praha: prof. MUDr. R. Foltán, Ph.D.)

Začátek: výrazný předkus, krátká dolní čelist (zuby se vepředu "nepotkají", dolní čelist "nedosáhne dostatečně dopředu")

Ortodonticky připravené zubní oblouky před operací na čelistech

Konec: po zhojení následuje ortodontické doléčení a poté sejmutí fixního aparátu (zuby už se "potkají", dolní čelist "dosáhne dopředu")
Kombinovaná ortodonticko chirurgická léčba: obrácený skus (chirurgická část terapie ve VFN Praha: prof. MUDr. R. Foltán, Ph.D.)

Začátek, obrácený skus, "podkus", "čelisti koušou obráceně"

Konec po sejmutí fixního aparátu

Boční dálkový snímek lbi před léčbou a po jejím skončení